出っ歯 Before&After
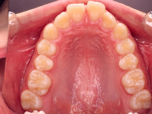
上顎の様子
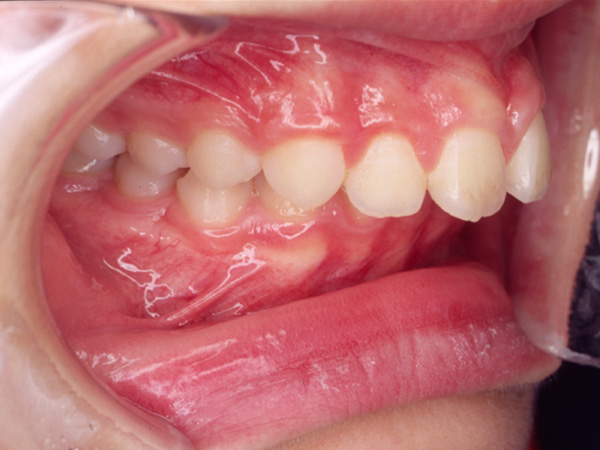
右側面の様子
正面の様子
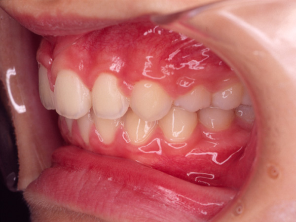
左側面の様子
下顎の様子
| 主訴 | 出っ歯 |
|---|---|
| 治療期間 | 2年7ヶ月 |
| 費用 | ¥930,300 |
| 治療 | ブラケット装着期間のブラッシング指導、クリーニングで口腔内管理した。 就寝時はナイトガードを使用 |
check!
施術のリスクや副作用について
治療にあたっての注意点
当院では、基本的に歯の表側へ矯正装置(ブラケット)を装着して歯を動かしていきます。
1番注意してほしいのは、虫歯になるリスクが高くなることです。
矯正治療期間中、当院でクリーニングは実施しておりますが、日常の歯磨きに対して、今まで以上に注意が必要となります。歯磨き指導をしておりますので、患者様、または保護者の協力をお願いしております。
どの矯正装置を使用しても、はじめのうちは、お口の違和感は生じます。
個人差はありますが、時間と共に矯正装置に対して慣れていきます。
矯正治療中は、装置の脱離やワイヤーが口腔内に刺さる痛み、口内炎などのリスクも生じます。応急処置に対しては、その都度対応しております。
様々な治療方法や費用・期間などを、疑問や不安にお答えしながらご案内させていただきます。
お電話(04-2940-8878) または 予約システムをご利用ください










